Full mouth reconstruction is a comprehensive process that completely restores the health, functionality, and natural beauty of all your teeth. Dental reconstruction may be necessary for several reasons:
- Missing teeth
- Trauma to the teeth including fractured or broken teeth
- Worn teeth as a result of erosion or grinding
- Neuromuscular or TMJ problems
Dr. Solomon has received his reputation as Los Angeles’ top dental reconstruction dentist because of his consistently thorough patient care and excellent results. The full mouth reconstruction process is different for each patient depending on his or her individual needs. Dr. Solomon will carefully review your case with you and discuss possible treatment plans. Multiple procedures may be involved such as restorations, implants, veneers, or orthotics.
Dr. Solomon specializes in completing full mouth reconstructions in only two visits as well as neuromuscular and TMJ cases. For your comfort, our office provides partial as well as complete sleep sedation options. In addition, if you are travelling from out of town, our front desk will help make travel arrangements. Please contact us at (310)475-5598.
Why Dr. Solomon?
Dr. Solomon has been practicing for over 27 years and is known for his impeccable bedside manner. He will put you at ease by answering any and all of your questions before, during, and after every procedure. In addition, he has received specialized training in full mouth reconstruction and neuromuscular dentistry at the prestigious Las Vegas Institute for Advanced Dental Studies. His in-depth expertise of not only teeth, but also the jaw, muscles, and nerves is what sets him apart from other dentists. You can be confident that with Dr. Solomon, you will receive exceptional care and results.
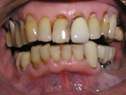
A Full Mouth Reconstruction Case Study: Youn
Youn traveled all the way from Japan to receive Dr. Sid’s expertise. As a successful businessman, he wanted his smile to reflect his stature. He came to Dr. Solomon with a lackluster smile featuring yellow, decayed teeth and several missing teeth. Dr. Sid recommended a treatment plan including a deep cleaning, implants, and veneers. Youn was extremely happy with the results, exclaiming that he both looked and felt 20 years younger. Although he still lives in Japan, he still comes to Dr. Sid for hygiene visits.
See the before (top) and after (bottom) pictures for the amazing transformation:





















